С помощью специального алгоритма, анализатор спермы (sperm analyzer .casa) сам вычисляет процент сперматозоидов по отношению к четырехступенчатой подвижности и скорости.
Все расчёты проводятся с использованием стандартных форм в соответствии с требованиями воз от 2021 года 6-го издания.
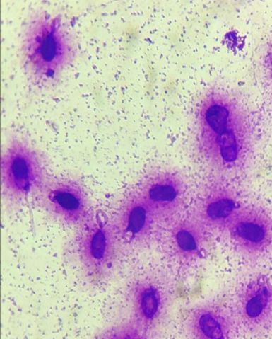
Морфология по крюгеру
Оценки морфологии сперматозоидов. Ценность оценки морфологии не только в ограниченных прогнозах в отношении самопроизвольной беременности или исхода эко, но ещё больше это диагностическая информация о функциональном состоянии мужских репродуктивных органов, в первую очередь яичек и придатков яичка.
Индекс тератозооспермия (ИТЗ)
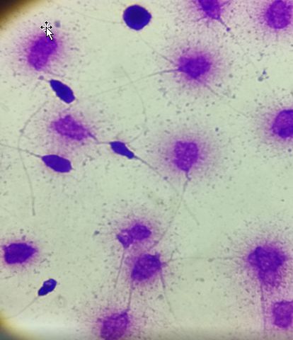
Аномальные сперматозоиды:
- более низкий потенциал оплодотворения;
- с повышенной фрагментацией ДНК;
- с повышенной частотой структурных хромосомных аберраций;
- с незрелым хроматином;
- с анеуплодией.
MAR-тест (антиспермальные антитела)
Мар-тест используют для диагностики наличия иммунологического фактора мужского бесплодия и выявляется даже при нормальных показателях спермограммы. Он определяет количество сперматозоидов, покрытых антиспермальными антителами (ACAT). Прикрепляясь к мужским половым клеткам, они подавляют их активность. Антитела также могут препятствовать связыванию сперматозоидов с зоной пеллюцида и акросомальной реакции.
ДНК-фрагментация
Молекула ДНК представляет собой спираль из двух нитей и состоит из генов. Под влиянием некоторых факторов могут происходить разрывы нитей, образуются фрагменты, и целостность молекулы нарушается, генетический аппарат клетки повреждается.
Такие повреждения значительно влияют на способность сперматозоидов оплодотворять яйцеклетки. При оплодотворении таким дефектным сперматозоидом увеличивается вероятность наличия генетических нарушений и врожденных пороков развития у плода, высока вероятность прерывания беременности на ранних сроках. В результате многочисленных исследований выявлена прямая зависимость высокого индекса фрагментации ДНК и неудач в программах ЭКО.
Сдать анализ на фрагментацию ДНК сперматозоидов рекомендуется в следующих случаях:
- Бесплодие в супружеской паре;
- Привычное невынашивание беременности;
- Подготовка к вспомогательным репродуктивным технологиям (ВРТ), в т.ч. ЭКО (экстракорпоральное оплодотворение), ИКСИ (интрацитоплазматическая инъекция сперматозоида), внутриматочная инсеминация;
- Неудачные попытки ЭКО;
- Обнаружение отклонений в спермограмме.
Фрагментация ДНК сперматозоида – это повреждение цепочки ДНК, которая содержится в ядре его головки. Разрывы ДНК приводят к нарушению целостности генетической информации, что снижает качество мужской половой клетки, ставя под сомнение возможность зачатия.
Показаниями к оценке фрагментации ДНК сперматозоидов являются:
- Беспричинное бесплодие (неясного генеза) при нормальных показателях спермограммы;
- Привычное невынашивание беременности у супруги;
- Подготовка к лечению бесплодия методами ВРТ;
- Неудачные попытки ЭКО в анамнезе;
- Криоконсервация спермы;
- Поздний возраст мужчины.


Определение ядерного белка
Сперматозоид со зрелым ядерным белком может определяться по уровням протамина и гистона. У сперматозоида может наблюдаться зрелый ядерный белок или незрелый ядерный белок. Выраженный в процентах (%) результат в этом отношении помогает определить долю успешных оплодотворений.
Незрелый ядерный белок приводит к фрагментации ДНК и связанному с этим бесплодию.
В процессе сперматогенеза хроматин сперматозоидов претерпевает серию изменений. Это включает преобразование гистона в протамин І и ІІ. Хроматин сперматозоида со «зрелым ядерным белком» состоит на 85% из протамина — І и ІІ и на 15% из гистона. Таким образом, если гистон составляет >15%, это указывает на «незрелый ядерный белок».

Определение жизнеспособности сперматозоидов
Целостность мембраны сперматозоидов (структурная и функциональная) в случаях, когда она вызывает сомнения или является недостаточной, может ухудшать оплодотворяющую способность спермы (влияя на подвижность, капацитацию, акросомную реакцию и прикрепление сперматозоида на внеклеточной оболочке ооцита).
Целостность мембраны оценивается посредством двух тестов:
- HOS (функциональная целостность) - жизнеспособность сперматозоидов характеризуется долей живых сперматозоидов, определённых при оценке целостности их мембран.
- Vitality (структурная целостность) - тест на жизнеспособность клеток также представляет собой «перекрестную проверку качества» для оценки подвижности сперматозоидов.
Биохимическое исследование эякулята
Альфа-глюкозидаза, цинк, лимонная кислота, фруктоза — исследование, которое проводится для диагностики концентрации веществ, влияющих на образование, морфологию оплодотворяющую способность мужских половых клеток.
- Альфа-глюкозидаза: фермент, который синтезируется эпидидимисе, в норме присутствует в эякуляте. Уровень активности альфа-глюкозидазы зависит от секреторной функции придатков яичек.
- Фруктоза: основа питания сперматозоидов, главный источник их энергии. Образование её происходит в семенных пузырьках под влиянием андрогенов, говорит о секреторной функции семенных пузырьков.
- Цинк: вырабатывается предстательной железой. Уменьшение его концентрации в эякуляте свидетельствует о понижении качества сперматозоидов, особенно это влияет на их подвижность.
- Лимонная кислота: влияет на правильное строение сперматозоидов и их способность проникать в яйцеклетку. Снижение уровня лимонной кислоты наблюдается при воспалительных процессах в урогенитальном тракте, так как она вырабатывается предстательной железой.
Анализ оксидативного стресса сперматозоидов (ROS тест)
Одним из факторов, способным снижать мужскую фертильность, является гиперпродукция активных форм кислорода (АФК), которые приводят к развитию оксидативного стресса спермы и как следствие к мужскому бесплодию.
Когда активные формы кислорода присутствуют в сперме в избытке, они могут инициировать патологические изменения сперматозоидов, вызывая окислительное повреждение клеточных оболочек, белков и ДНК.
Как влияет стресс на сперматозоид?
- Повреждение мембран;
- Повреждение ДНК;
- Разрушение естественной белковой оболочки;
- Разрушение хвоста;
- Акросомная реакция.
Акросомная реакция
Бесплодие может быть связано с нарушением различных этапов взаимодействия сперматозоидов с яйцеклеткой: отсутствие нормальной акросомной реакции и неспособность внедряться в защитную оболочку яйцеклетки (zona pellucida).
Акросомная реакция представляет собой экзоцитоз, т.е. выброс протеолитических ферментов (акрозин, гиалуронидаза и др.), которые содержатся в специальной органелле сперматозоида — акросоме.
Акросомная реакция в норме должна произойти именно при контакте сперматозоида с zona pellucida. Но редко при этом возникают нарушения.
Можно выделить три типа нарушений акросомной реакции:
- Преждевременная акросомная реакция до встречи с яйцеклеткой - избыточность спонтанной реакции;
- Отсутствие выброса акрозина при контакте с zona pellucida - недостаточность индуцированной реакции;
- Сочетанный тип нарушений — много сперматозоидов теряют акросому до встречи с яйцеклеткой, а оставшиеся не способны к выбросу ферментов при контакте с zona pellucida.
Акросомная реакция препятствует оплодотворению яйцеклетки.

